Doenças Causadas Por Fungos Sintomas Tratamento Prevenção

Doenças causadas por Fungos . Micose de Unha. Prevenção . Sintomas . Tratamento . Candidíase. Homens.

Doenças Causadas Por Fungos Sintomas Tratamento Prevenção

Doencas Causadas Por Fungos

Deficiência imunológica causada por doenças como aids e câncer. Tratamento corrente com antibióticos. A prevenção . Para afastar a ameaça da candidíase vaginal, a higiene da região deve ser feita com sabonete de pH neutro.

Conheça as principais doenças causadas por fungos e saiba como se livrar destes microrganismos de forma eficiente, prevenindo complicações.

Separamos as sete principais doenças causadas por fungos .Check-up e prevenção para qualidade de vida: Saiba mais. Câncer de Mama: Mitos, Verdades e Sinais de Alerta para Prevenção .

As doenças causadas por fungos em bebês, conhecidas como dermatofitoses pediátricas, são infecções geralmente superficiais e de baixo risco.Conteúdos relacionados: Dermatite de fralda: causas , sintomas , prevenção e tratamento .

Doenças causadas por fungos : principais sintomas e tratamentos .A princípio, o termo micose é um nome genérico para definir doenças causadas por fungos . Nesse sentido, envolve sintomas comuns como mudanças na cor da pele, coceiras e incômodos constantes.

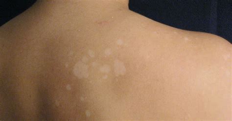
As doenças causadas por fungos , popularmente, são conhecidas por micoses. Principalmente aquelas que atacam locais visíveis, como cabelos, unhas e a pele, de modo geral.

For more information, click the button below.

Doenças Causadas Por Fungos Sintomas Tratamento Prevenção - FDPLEARN

Doenças Causadas Por Fungos Sintomas Tratamento Prevenção - RETOEDU

Doenças Causadas por Fungos: Transmissão e Tratamento

7 Doenças causadas por fungos e como evitá-las

-

A doença pode ser causada por bactérias, vírus ou fungos , sendo a meningite bacteriana a de maior impacto global.O tratamento pode ser realizado com o uso de antimicrobianos em ambiente hospitalar. Os medicamentos variam de acordo com as causas e sintomas da doença .

Infectologista do Hospital da Rede Ebserh em Uberaba (MG) explica sobre sintomas e tratamento . Patologia também pode ser transmitida por cães.

Esta condição pode ser causada por uma variedade de agentes infecciosos, incluindo vírus, bactérias e fungos . A identificação precisa da causa da faringite é essencial para um tratamento eficaz e para a prevenção de complicações.

A prevenção da infecção vaginal por fungo envolve a adoção de alguns hábitos, como: Ter uma dieta equilibrada, pois contribui para o organismo funcionar corretamente e combater doenças com mais eficiência. Controlar o diabetes.

Doenças causadas por fungos . Na natureza existem vários tipos de fungos , eles são uma forma de vida bastante comum, porém existem aqueles que se alimentam de matéria em decomposição, alimentos e organismos vivos o que inclui os seres humanos.

A maioria das doenças causadas por fungos geram os mesmos sintomas . Confira então quais são os sintomas e as doenças mais comuns. Tratamento e prevenção para doenças causadas por fungos . homem colocando as meias nos pés secos.

Esporotricose é uma doença causada por fungos do gênero Sporothrix, que são encontrados no meio ambiente e podem infectar animais e humanos. Tipos de esporotricose. O tipo da doença depende de onde o fungo se instala. Conheça os principais a seguir.

Página Principal : Doenças . Sinusite Saiba mais sobre esta doença , sintomas , tratamento , prevenção , viral e bacteriana. Sarna Saiba mais sobre a sarna, infecção cutânea, ácaro, coceira, tratamento , transmissor, escabiose, Sarcoptes scabiei.

sintomas de Aspergilose em galinha caipira – doença causada por fungos .Não podemos nunca relaxar quando se trata da prevenção de doenças em nossos planteis. Seja ele em sistema caipira ou não, seja em uma criação mais rustica ou de alto desempenho.

diagnostico, doenças fúngicas, fungos , infecção, micose Doenças causadas por fungos .Esse problema é muito comum e atinge mais de 20%”da população, grande maioria desses, idosos. Diagnostico e prevenção .

Sintomas de fungos genitais masculinos. Fungos no escroto: tratamento . Como prevenir fungos nos testículos.Além disso, uma alimentação balanceada e rica em nutrientes pode fortalecer o sistema imunológico, ajudando na prevenção de infecções.

Existem várias as doenças causadas por fungos , desde as mais comuns, como a candidíase, tinha ou micose de praia, até as mais raras e graves, como histoplasmose, esporotricose ou paraccoccidioidomicose.

As doenças causadas por fungos em plantas são um problema comum na agricultura e jardinagem. Os fungos são organismos microscópicos que se alimentam de nutrientes das plantas, causando danos e reduzindo a produtividade.

Dermatomicose é o nome coletivo de um grupo de doenças de pele causadas por fungos microscópicos. Tratamento de dermatomicose. Possíveis complicações e consequências. Previsão. Prevenção .

As doenças causadas por fungos são chamadas de micoses ou micoses sistêmicas e, em alguns casos, podem ser até mais perigosas do que aquelas transmitidas por outros microrganismos.

Essas doenças apresentam diferentes formas de contágio, sintomas , tratamentos e prevenção . As características das paredes celulares das bactérias são de grande importância no diagnóstico e, consequentemente, na determinação da melhor forma de tratamento .

O método reduz a duração do tratamento de doenças causadas por fungos . cortador de unhas simples( de um modo preferido para metais) devem raspar a placa da unha afectada - e raspe a seco, sem qualquer descolamento.

Principais doenças : Sintomas : Tratamento : Receita caseira : Prevenção : Para prevenir micoses, seguem as seguintes dicas: Os fungos são seres vivos que podem viver em harmonia com os seres humanos.

Principais sintomas : Os principais sintomas da febre tifóide são febre alta, perda de apetite, aumento do baço, aparecimento de pontos vermelhos na pele, dor de estômago, calafrios, mal-estar e tosse seca, por exemplo. Como é feito o tratamento

Author

Obalia

Movido por uma paixão verdadeira pelo universo escolar, construo minha trajetória profissional com a missão de favorecer o desenvolvimento pleno de cada estudante. Procuro integrar domínio técnico e sensibilidade humana em práticas pedagógicas que reconhecem e valorizam a singularidade de cada pessoa. Minha formação em instituições renomadas, aliada a anos de experiência em sala de aula, me permite elaborar caminhos de aprendizagem baseados em vínculos genuínos e na promoção da expressão criativa. - g2e.neogames.com.